肋骨骨折多久不疼,多久能上下床,取决于怎么治疗处理,经过多年的临床经验,对这个有一定的话语权,首先了解一下肋骨的解剖与功能 肋骨除了十一,十二俩根游离肋骨,其他的肋骨都固定与前面胸骨柄,后面的胸椎,由弹性软骨相连,肋骨有保护内脏,帮助呼吸的功能 ,下面具体说明一下肋骨骨折的病理,与治疗。
肋骨骨折的病因病理 肋骨一般都是外力作用下才能骨折,车祸,高处坠落,年龄大的老年人扭身动作,曾经一位七十岁老太太,扭身泼水,断了三根肋骨,原因是骨质疏松。
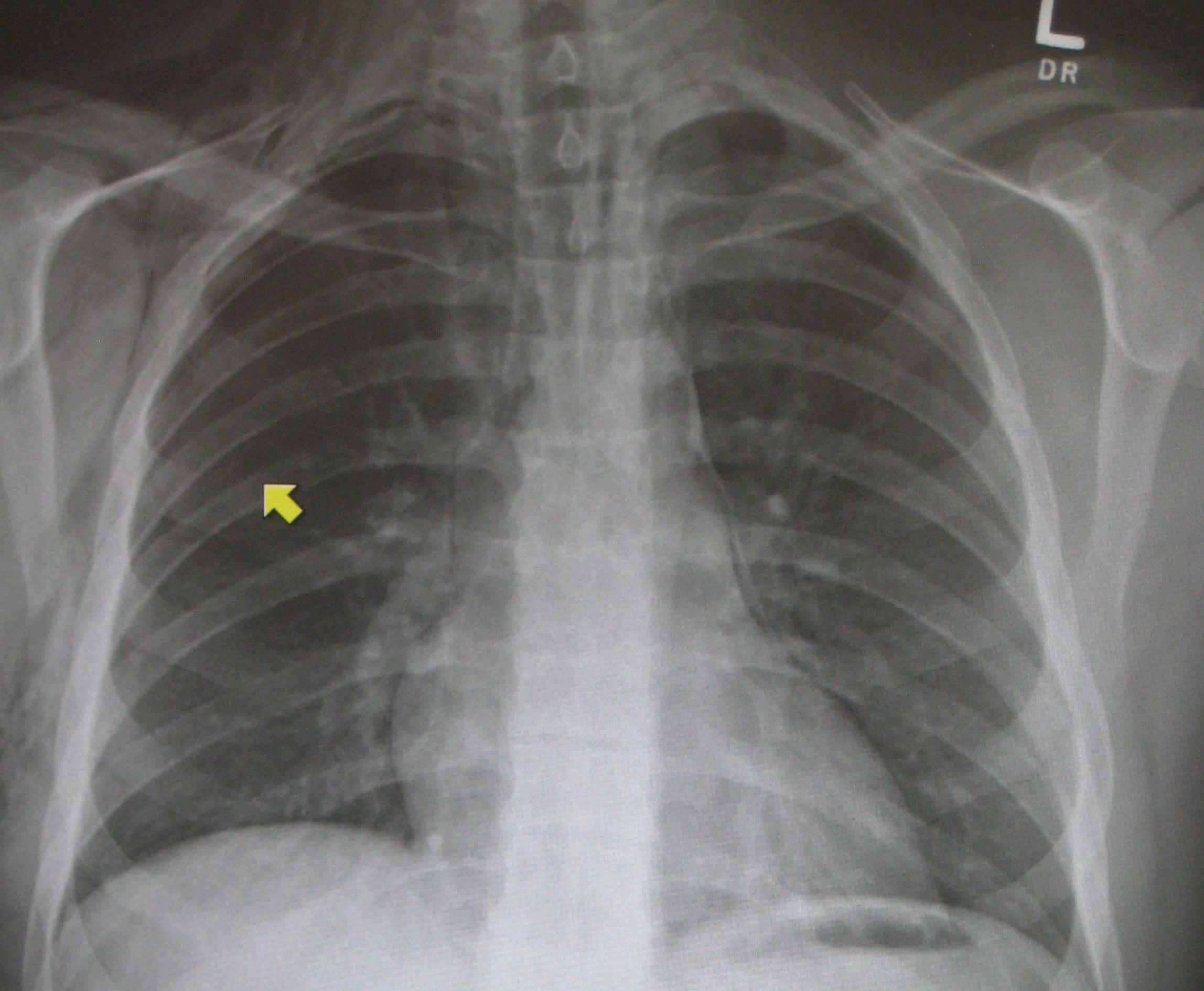
肋骨骨折一般有横型骨折,斜型骨折,螺旋型骨折,三小时后患者呼吸困难,用手捂住骨折处才能敢慢慢呼吸,呼吸有骨擦音,大小便都会疼痛,走路不能直腰,向患侧倾斜身体。
肋骨骨折的治疗 肋骨骨折可以中医治疗,也可以西医治疗,但是临床上中医治疗,对缓解骨折带来的疼痛更明显,什么介绍了肋骨功能,保护内脏 帮助呼吸,一般肋骨的疼痛来源于呼吸,因为呼吸加大肋骨的张力,骨折处就会疼痛,中医可以缓解这个,手法整复骨折处,根据不同型骨折,施用不同手法,牵开,对位,关键处来了,利用白布,裁十厘米宽,长三米,围着骨折处缠绕,紧致点。或者要石膏绷带都可以,同样方法,把骨折处固定,这样患者呼吸疼痛马上减轻,用伤科药配以接骨药,服用半个月后骨痂形成,大约一个半月骨折处愈合,拆除固定 ,也就痊愈了,注意不要二次损伤就好了。
肋骨骨折一般半个月也就不疼了,上下床没问题。就分享这些,不懂不明白的评论区说明,谢谢


